関岡クリニックホームへ 関岡クリニックホームへ ホーム
関岡クリニック
診療時間 救急 交通地図 診療対象 設備 各種健診 予防注射 在宅診療 禁煙指導 循環器検査
 
     
 
 
 
 
 
 
 
頭部外傷 頭蓋内出血

頭部外傷 頭蓋内出血

 

自覚症状

頭痛、意識障害、嘔気、四肢の運動障害など
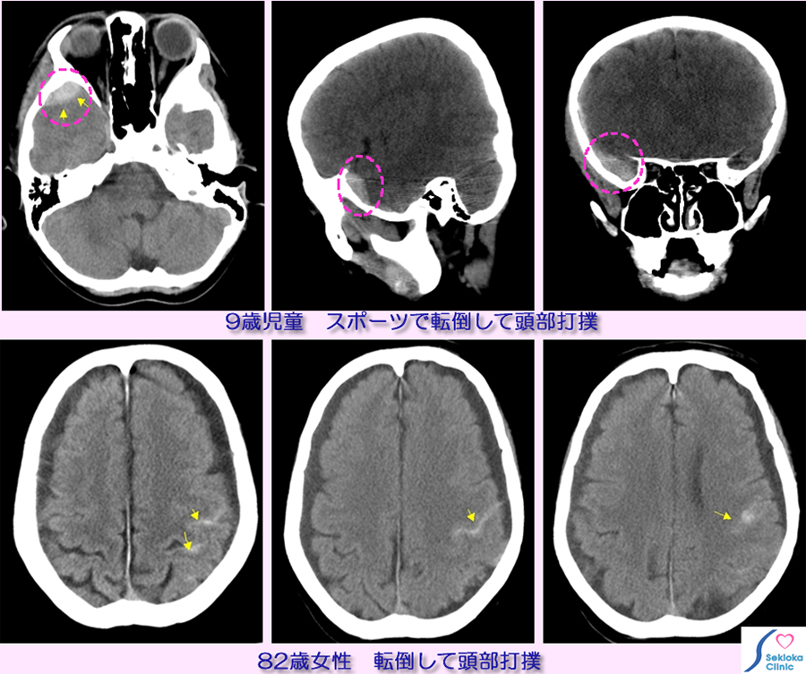
上段は 9歳の男児、運動時転倒して頭部打撲。その2時間後、頭痛に加え、吐き気が出現し受診。
下段は82歳女性、路上で転倒し頭部打撲。その数時間後、起立、歩行障害、軽度の意識障害も出現し、救急車で来院。

診断

CT検査で出血部位は高X線吸収部位(画像では白く表示)として検索される。出血の部位、大きさ、頭蓋骨折の有無など評価

治療

出血が大きく脳実質の有害な圧迫を認める場合は手術にて血腫の除去。
掲載例は血腫が小さく、入院にて経過観察のみで治療。