関岡クリニックホームへ 関岡クリニックホームへ ホーム
関岡クリニック
診療時間 救急 交通地図 診療対象 設備 各種健診 予防注射 在宅診療 禁煙指導 循環器検査
 
     
 
 
 
 
 
 
 
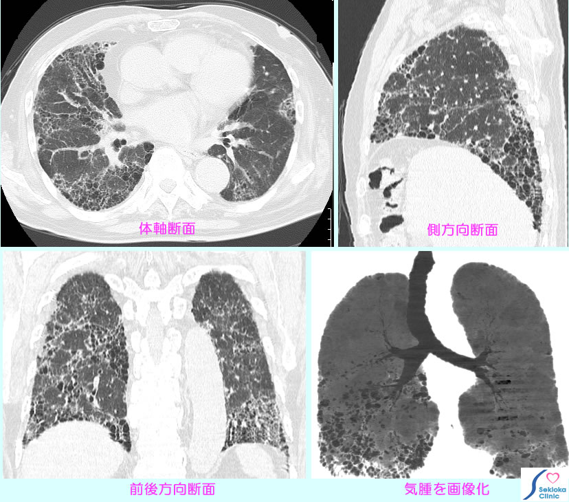
肺線維症 CT画像

肺線維症

 

 

 

 

 

 

 

 

 

自覚症状 間質肺炎の急性期は咳など。進行して線維化が進むと息切れ。
診断

胸部X線撮影、線維化の広がりなど精査にはCT撮影を行う。
原因となる間質肺炎急性期の精査には血液生化学検査、肺生檢も行われる。間質肺炎の活動状態の指標には血液生化学検査。肺機能や動脈血酸素飽和度の測定、運動負荷なども進行状況の評価に行われる。添付画像は蜘蛛の糸のごとく線維化した白い部分と黒く抜けた巣(気腫)の部分で蜂巣状と表現される。本例は運動時、動脈血酸素飽和度は90%(酸素分圧60mmHg)以下となり、息切れを生じる。携帯酸素を使用。

治療 ステロイドや免疫抑制剤、それらの組み合わせ。最近、線維化を抑制する新しい薬剤も開発されたが治験段階である。