
| 自覚症状 | 自覚症状なし。 進行した肺癌は 咳、胸痛など |
|---|---|
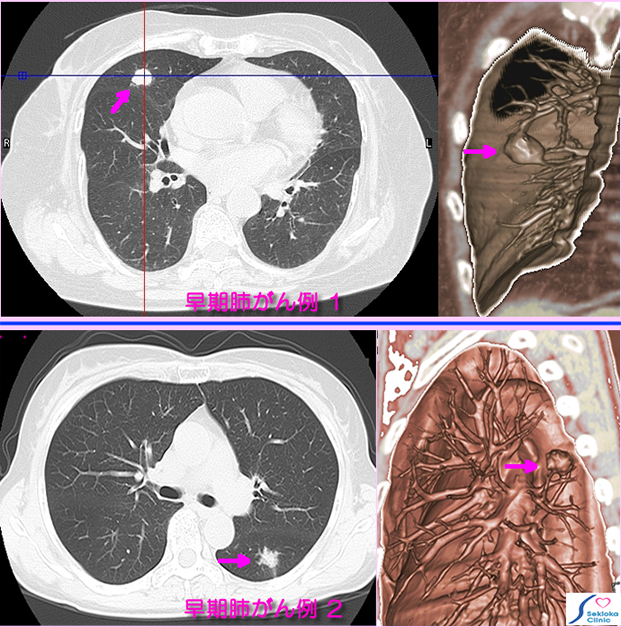
| 診断 | 添付画像の早期肺がん例1は偶然CT検査で小陰影認め(矢印)、肺がんと断定できなかったが 疑いのもとで経過観察し、4ヶ月後のCT再検査で 少し増大と陰影周辺の不規則な形状認め、肺がんの疑い濃厚となり手術。右側はMDCTによる3次元画像。下段の早期肺がん例2も 健診目的の検査で偶然見つかり、CT画像で腫瘍(矢印)の辺縁形状から腺癌が疑われ、造影MDCT検査、PET-CTの追加検査を行い手術された例。 |
| 治療 | いずれの2例も手術にて、肺門リンパ節など転移なく 早期がん。 低分化腺がん。術後の放射線照射、抗がん剤は早期がんのため使用されていない。 |