
| 自覚症状 | 肝臓へ転移したがんが小さい段階では無症状。大きくなると食欲不振、倦怠感、上腹部痛、腹部膨満感、黄疸出現など |
|---|---|
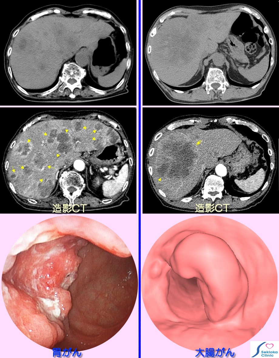
| 診断 | がん転移早期には血液検査では異常を認めないこともあります。ある程度大きくなるとアルカリホスファターゼ、AST、ALT、ビリルビンなど上昇。画像診断の方が血液検査より早期に転移が見つかることは多い。超音波エコー検査、CTなどの画像診断が行われます。下段左列の画像は、食欲不振、体重減少、軽い上腹部痛でCT検査を行ったところ肝内にX腺低吸収の領域(黒い)を多数認め、がんの転移を疑い、精査のため造影剤を用いてCT検査を行った画像が中段です。多数の内部が低吸収(黒く)で周囲は血管が豊富な(白い辺縁)結節を認め、転移性がんを疑い、内視鏡検査で進行した胃癌を認めた例です。右側は胸部CT検査で偶然肝臓内に低吸収(黒い)領域を認め、造影剤を用いたCT検査(中段の画像)から肝臓への転移がんを疑い、大腸CT検査で最下段の画像のごとく、大腸癌を認めた例です。 |
| 治療 | 肝臓への転移癌が小さい、少数の場合は 原発巣の手術とともに、転移癌を摘出することもあります。肝臓への転移が多数の場合、あまり大きい場合は転移がんの摘出は困難で化学療法(抗がん剤)か、保存的治療を行わざる終えません。 |
![]()