院内案内
MDCT
超音波エコー
内視鏡(カメラ)
デジタルX線
動脈硬化計測器
心肺運動負荷検査
呼吸機能
携帯24時間心電図
携帯24時間血圧記録器
24時間動脈血酸素飽和度
骨密度計測
聴力計
緊急検査
生活習慣病学習器具
物理療法(リハビリ)器具
特定健診
各種健康診断書作成
胃ガン・肺ガン健診
企業健診
学校健診後精査
インフルエンザ
肺炎ワクチン
麻疹・風疹等
日本脳炎
食道がん
自覚症状
食物を飲み込む時、つまる感じが出現して来院
診断
内視鏡で喉頭・食道・胃を検査
食道に大きな腫瘍を認め、がんを疑う
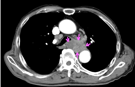
手術の可能性、転移の有無を調べるため造影CTを施行
造影CT検査で食道壁から周囲の縦隔内に浸潤を認める
治療
がんの手術による摘出は困難と判断され、放射線治療
内視鏡
造影CT