
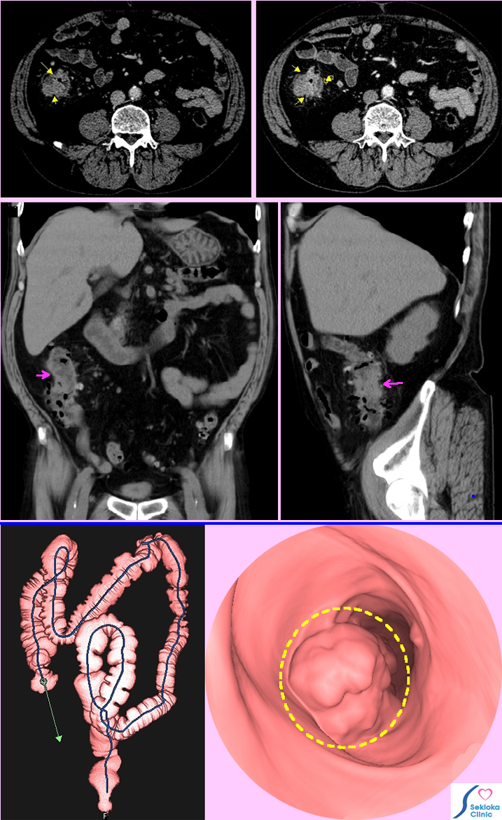
| 自覚症状 | 添付画像の例は 自覚症状なし。肝臓、胆嚢の造影CT検査時、偶然みつかりましたが、一般的にはお腹がはる感じ、便秘、血便などで検査される。 |
|---|---|
| 診断 | 自覚症状が出る前に早期診断を行うことが 転移などを回避でき重要です。大腸がん健診では 便に血液が出ていないか検査し、陽性なら大腸ファイバースコピー、注腸造影、2012年新しい検査法として大腸内に二酸化炭素を入れ、MDCTを用いて撮影し3次元画像から診断する方法が保険適応となりました。下段はその仮想大腸内画像の1例で当院の例です。検査時の苦痛が少なく、短時間、安全な検査法です。 |
| 治療 | 手術。早期なら内視鏡的切除が可能な例もあります。掲載画像の上段例は肝臓への転移なく、手術。 |
![]()