院内案内
MDCT
超音波エコー
内視鏡(カメラ)
デジタルX線
動脈硬化計測器
心肺運動負荷検査
呼吸機能
携帯24時間心電図
携帯24時間血圧記録器
24時間動脈血酸素飽和度
骨密度計測
聴力計
緊急検査
生活習慣病学習器具
物理療法(リハビリ)器具
特定健診
各種健康診断書作成
胃ガン・肺ガン健診
企業健診
学校健診後精査
インフルエンザ
肺炎ワクチン
麻疹・風疹等
日本脳炎
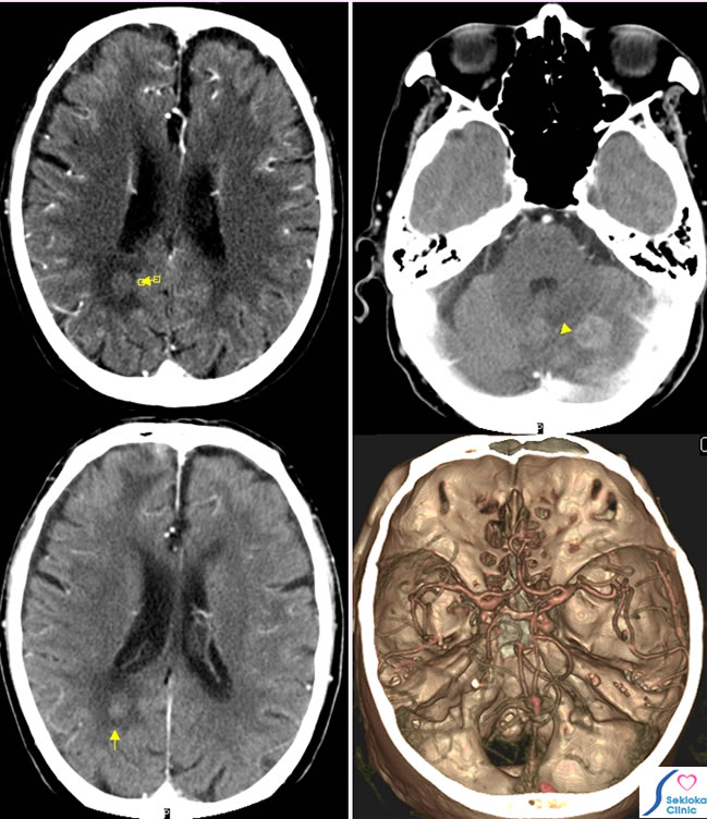
脳腫瘍(転移性)
症状
食欲不振、意識障害、歩行障害
診断
症状と他の部位に進行がん認めたため、転移性脳腫瘍疑い造影CT施行
治療
他の部位の進行状況から放射線療法と保存的治療