院内案内
MDCT
超音波エコー
内視鏡(カメラ)
デジタルX線
動脈硬化計測器
心肺運動負荷検査
呼吸機能
携帯24時間心電図
携帯24時間血圧記録器
24時間動脈血酸素飽和度
骨密度計測
聴力計
緊急検査
生活習慣病学習器具
物理療法(リハビリ)器具
特定健診
各種健康診断書作成
胃ガン・肺ガン健診
企業健診
学校健診後精査
インフルエンザ
肺炎ワクチン
麻疹・風疹等
日本脳炎
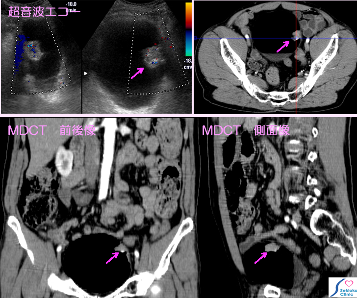
膀胱早期がん
自覚症状
血尿(赤い尿)に気づき来院
診断
超音波エコー検査で膀胱内膜から突出する小腫瘍認め、
造影MDCT検査行う。膀胱壁外への進展の所見認めず、
早期がん と推定される
治療
早期がんであったため、経尿道的切除で膀胱は温存される