関岡クリニックホームへ 関岡クリニックホームへ ホーム
関岡クリニック
診療時間 救急 交通地図 診療対象 設備 各種健診 予防注射 在宅診療 禁煙指導 循環器検査
 
     
 
 
 
 
 
 
 

 

 

 

 

 

 

 

 

 

時間外診療(夜間、深夜、休日)の実数

時間外診療は三重県救急医療情報センターまたは 患者様からの直接の電話でお受けしています。
胸痛腹痛息苦しさ、意識障害、外傷などで早期に診断・治療が望ましい・必要な場合に、緊急検査・治療を行っています。
厚労省にも基本的に24時間対応を届けています。実数と時間外診療の具体例を示します。

 

 

 

 

 

 

時間外

過去1年間

過去3年間

深夜 91 182
休日 142 352
その他の時間外

92

194
時間外合計 325

728

  症例の説明                  診断、治療画像
深夜、午前1時30分頃、胸背部痛が車運転中生じ、持続するため2時30分来院。胸腹部の単純CT検査(左側画像)で大動脈解離疑われ、造影CTで精査。中央、右側の造影MDCT検査で胸部から骨盤部までの大動脈解離と確診し、救急車で血管外科に搬送。 急性解離性大動脈瘤
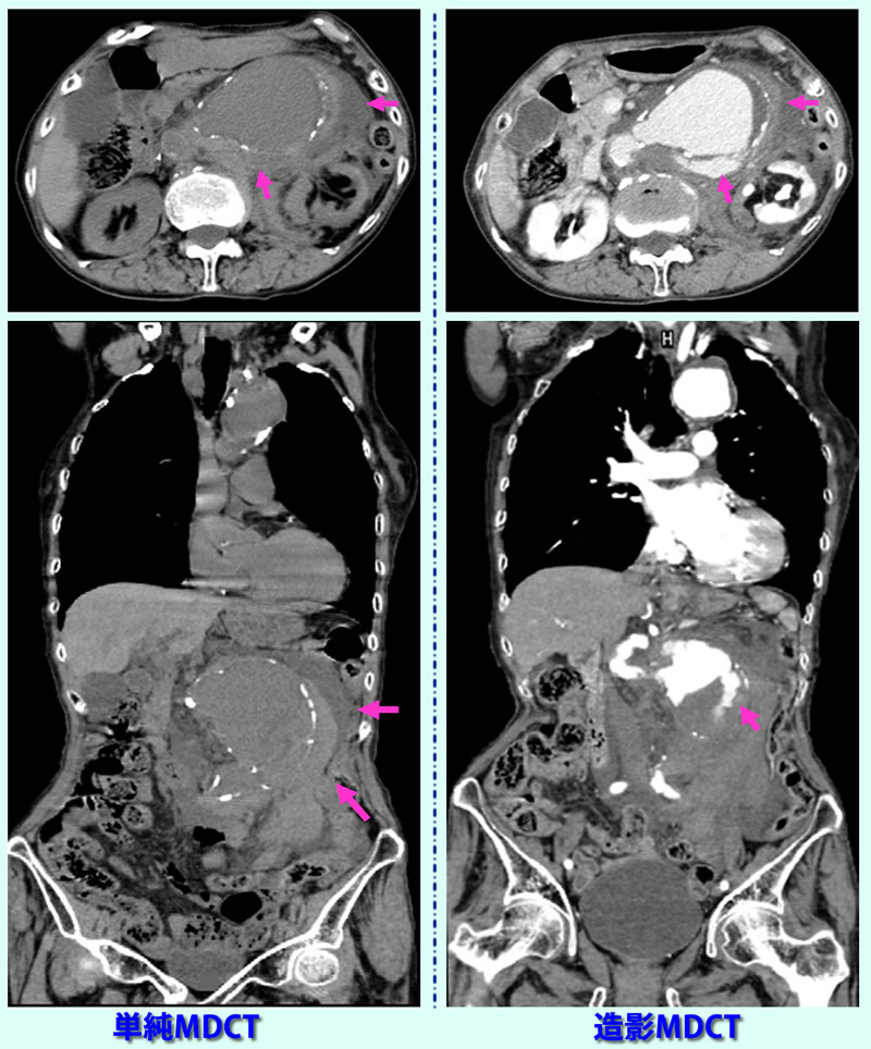
午後10時頃、突然、腹痛発症し、持続するため受診。単純CT検査(左側画像)で腹部動脈瘤破裂疑われ、造影MDCT検査実施(右側画像)。血管からの造影剤の漏出認め、大動脈破裂の確診.血管外科のある病院に救急搬送行ったが7時間後、他界。 大動脈瘤破裂
深夜2時30分トイレに行き、息苦しくなり、持続するため午前3時に受診。血液酸素飽和度70%台に低下。CTで肺水腫(左側画像)と両側の胸水貯留(中央画像)認め、酸素投与下に利尿剤使用して心不全改善。この時CTで冠動脈の石灰化認めたため、後日冠動脈CT検査施行。冠動脈3枝の著明な石灰化認め、冠動脈狭窄が心不全の原因と考えられ心臓外科紹介。冠動脈のバイパス手術行われ、現在外来通院中 虚血性心不全

夜間10時頃、息苦しさ出現。看護師付き添いで緊急受診。血液酸素飽和度70%前後、頻呼吸、呼吸困難強く、酸素投与下にCT検査。著明な肺水腫認め(左側画像)、急性心不全として,酸素投与と利尿剤投与。約2時間30分後症状改善し、帰宅。翌日確認のためCT検査実施(右側画像)。肺水腫は消失。以後外来で9年間心不全の治療と観察をしているが心不全は生じていない。

急性心不全肺水腫

左側CT画像:夜間10時頃、意思疎通ができず、話がおかしいとのことで家族が連れて来院。前頭葉の出血認める。
CT中央画像:朝起きてこず、意識が無いことに気づき救急車で来院。
右CT画像:1-2日前から会話がおかしく、意思疎通ができないと受診。造影CTで脳膿瘍の所見で1週前の抜歯が原因と考えられる。

意識障害CT検査

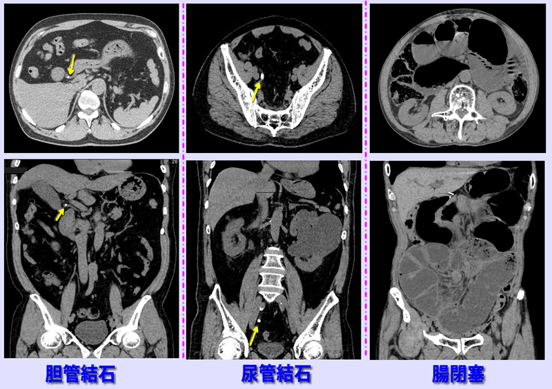
上腹部痛が持続するため夜間11時来院。左CT画像で胆管内に結石(黄色矢印)認め、胆管結石、胆管炎と診断。

中央CT画像は腹部から背部の痛み,吐き気で受診。右尿管結石(黄色矢印)と判明。

右CT画像は腹痛と嘔気で受診。腸内に多量の空気、内容物貯留認め腸閉塞と判明

 

急性腹部痛